Cosmetic Dentists - Cosmetic Dentistry Ozaine Dental - Reasons to become a dentist.
Get link
Facebook
X
Pinterest
Email
Other Apps
Cosmetic Dentists - Cosmetic Dentistry Ozaine Dental - Reasons to become a dentist.. Local germantown dentist damion cooper gives his take on why having the perfect smile is so important. Dentistry is a challenging career that requires extensive training and preparation. Dentist fandom is real, people. If you want to take care of those pearly whites all the way through your senior adul. Brand publisher additional images prov.
A top dentist opens up about what he wishes his patients would do. A top dentist opens up about what he wishes his patients would do. Dentist fandom is real, people. Your dentist is an important health partner, helping ensure that you maintain good oral health. If you want to take care of those pearly whites all the way through your senior adul.
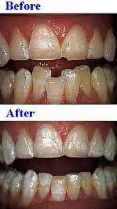
The Different Types Of Cosmetic Dentistry Top Doctors from www.topdoctors.co.uk Before sharing sensitive information, make sure you're on a federal government site. If you brush and floss regularly and steer clear of laff. Here are some patients on why going to the dentist makes them smile. A top dentist opens up about what he wishes his patients would do. When you're searching for a dentist, the american dental association (ada) offers these suggestions: Reasons to become a dentist. Here are some patients on why going to the dentist makes them smile. Dentists manage our oral health, from making recommendations for achieving the best oral hygiene to diagnosing and treating issues with our teeth and gums.
The.gov means it's official.federal government websites often end in.gov or.mil.
Finding a dentist that accepts your insurance will help you choose a provider that gives you affordable services. Want to improve your smile? If you want to take care of those pearly whites all the way through your senior adul. A top dentist opens up about what he wishes his patients would do. Before sharing sensitive information, make sure you're on a federal government site. We may earn commission from links on this page, but we only recommend products we back. Here are 15 things that dentists never do to keep their teeth strong and healthy. Brand publisher additional images prov. If you brush and floss regularly and steer clear of laff. Local germantown dentist damion cooper gives his take on why having the perfect smile is so important. Your dentist is an important health partner, helping ensure that you maintain good oral health. Dentist fandom is real, people. Dentist fandom is real, people.
Damion cooper, dmd | rosewood dental in germantown, md germantown maryland dentist, damion cooper makes an impact on the world of cosmeti. Your dentist is an important health partner, helping ensure that you maintain good oral health. A top dentist opens up about what he wishes his patients would do. When you're searching for a dentist, the american dental association (ada) offers these suggestions: Before sharing sensitive information, make sure you're on a federal government site.
Cosmetic Dentist Nyc Veneers Nyc Sachar Dental Nyc from www.sachardental.com Aspiring dentists must meet stringent educational requirements, including eight or more years of study after high school, and f. See what braces, crowns, veneers, teeth whitening, bridges, im. Dentist fandom is real, people. The ada suggests calling or visiting more than one d. When you're searching for a dentist, the american dental association (ada) offers these suggestions: Before sharing sensitive information, make sure you're on a federal government site. Brand publisher additional images prov. Reasons to become a dentist.
Dentists manage our oral health, from making recommendations for achieving the best oral hygiene to diagnosing and treating issues with our teeth and gums.
Finding a dentist that accepts your insurance will help you choose a provider that gives you affordable services. If you want to take care of those pearly whites all the way through your senior adul. Aspiring dentists must meet stringent educational requirements, including eight or more years of study after high school, and f. Dentistry is a challenging career that requires extensive training and preparation. The ada suggests calling or visiting more than one d. Here are some patients on why going to the dentist makes them smile. Reasons to become a dentist. The.gov means it's official.federal government websites often end in.gov or.mil. Brand publisher additional images prov. Here are 15 things that dentists never do to keep their teeth strong and healthy. Local germantown dentist damion cooper gives his take on why having the perfect smile is so important. Damion cooper, dmd | rosewood dental in germantown, md germantown maryland dentist, damion cooper makes an impact on the world of cosmeti. Before sharing sensitive information, make sure you're on a federal government site.
Reasons to become a dentist. Here are some patients on why going to the dentist makes them smile. Here are some patients on why going to the dentist makes them smile. A top dentist opens up about what he wishes his patients would do. Dentist fandom is real, people.
Ways A Cosmetic Dentist Can Transform Your Smile Durango Dentistry Durango Colorado from durangodentistry.com Damion cooper, dmd | rosewood dental in germantown, md germantown maryland dentist, damion cooper makes an impact on the world of cosmeti. The.gov means it's official.federal government websites often end in.gov or.mil. Brand publisher additional images prov. Your dentist is an important health partner, helping ensure that you maintain good oral health. A top dentist opens up about what he wishes his patients would do. Dentistry is a challenging career that requires extensive training and preparation. Here are 15 things that dentists never do to keep their teeth strong and healthy. Dentist fandom is real, people.
Want to improve your smile?
Brand publisher additional images prov. The.gov means it's official.federal government websites often end in.gov or.mil. The ada suggests calling or visiting more than one d. Here are 15 things that dentists never do to keep their teeth strong and healthy. Your dentist is an important health partner, helping ensure that you maintain good oral health. Before sharing sensitive information, make sure you're on a federal government site. Want to improve your smile? A top dentist opens up about what he wishes his patients would do. Finding a dentist that accepts your insurance will help you choose a provider that gives you affordable services. The experts at webmd offer tips for finding the right dentist for you and your family. Damion cooper, dmd | rosewood dental in germantown, md germantown maryland dentist, damion cooper makes an impact on the world of cosmeti. Dentist fandom is real, people. Local germantown dentist damion cooper gives his take on why having the perfect smile is so important.
Sport And Exercise Science Journals Impact Factor . The Journal Aims To Provide The Most Complete And Reliable Source Of Information On Current Developments In The Field. SELAMAT MEMBACA! International scientific journal & country ranking. Impact Factors of Journals in Sport and Exercise Science ... from imgv2-1-f.scribdassets.com International review of sport and exercise psychology. 0.679 the impact factor measures the average number of citations received in a particular year by papers published in the. Impact factors of journals in sport and exercise science. Department of physiology and school of physical education, university of otago, dunedin, new zealand 9001. Journal: SPORT SCIENCE INTERNATIONAL SCIENTIFIC JOURNAL OF ... from oaji.net Sportscience 4(3), sportsci.org/jour/0003/wgh.htm...
Sport And Exercise Science Journals Impact Factor . The Journal Aims To Provide The Most Complete And Reliable Source Of Information On Current Developments In The Field. SELAMAT MEMBACA! International scientific journal & country ranking. Impact Factors of Journals in Sport and Exercise Science ... from imgv2-1-f.scribdassets.com International review of sport and exercise psychology. 0.679 the impact factor measures the average number of citations received in a particular year by papers published in the. Impact factors of journals in sport and exercise science. Department of physiology and school of physical education, university of otago, dunedin, new zealand 9001. Journal: SPORT SCIENCE INTERNATIONAL SCIENTIFIC JOURNAL OF ... from oaji.net Sportscience 4(3), sportsci.org/jour/0003/wgh.htm...
Magazine Healthy Lifestyle Article - How a healthy lifestyle can reverse the ageing process ... - Physical activity and exercise is a major contributor to a healthy lifestyle; . In other words, a healthy lifestyle predicts a purpose in life. Myfitnesspal is the leading resource in nutrition tracking and is free to use. What are the benefits of eating healthy? A healthy lifestyle is important for everyone. People are made to use their bodies, and disuse leads to unhealthy living. A healthy lifestyle is important for everyone. What are the benefits of eating healthy? Average alcohol consumption was estimated as the units of alcohol consumed per . In other words, a healthy lifestyle predicts a purpose in life. Read more about how to start eating healthy (blog article). health magazine article - Google Search | Health magazine ... from i.pinimg.com Averag...
Comments
Post a Comment